Health
A seminar on Thailand's healthcare services was held in the capital recently. Three renowned doctors from Bangkok’s Phyathai Hospital gave free medical consultations to the patients during the seminar. As chief guest Syed Mojibul Huq, an additional secretary to the Ministry of Health and F...
While a doctor tries to find out the reason for hypoalbuminemia and start treatment, some strategies can reduce the risk of serious complications.Some people may need medications to raise their albumin levels. This can include albumin administered via an intravenous needle.The best option for treati...
The doctor will give you a physical exam and ask about your symptoms. They may perform a variety of tests, including blood work, an ultrasound, or a CT scan.If they think you have ascites, the doctor will use a needle to remove fluid from your belly for testing. This procedure is called a paracentes...
Editorial
Bangladesh observed World AIDS Day on Wednesday to create awareness about this life-threatening disease. World Aids Day is celebrated every year on December 1 to raise awareness about the deadly disease caused by the spread of HIV infection and to mourn those who lost their lives to it. Although the...
Excess fluid in your body: A low-sodium diet and medication to prevent fluid buildup in the body may help control ascites and swelling. More-severe fluid buildup may require procedures to drain the fluid or surgery to relieve pressure.Portal hypertension: Certain blood pressure medications...
The lung scarring that occurs in pulmonary fibrosis can't be reversed, and no current treatment has proved effective in stopping progression of the disease.Medications:Your doctor may recommend newer medications, including pirfenidone (Esbriet) and nintedanib (Ofev). These medications may help s...
High blood pressure in your lungs (pulmonary hypertension): Unlike systemic high blood pressure, this condition affects only the arteries in your lungs. It begins when the smallest arteries and capillaries are compressed by scar tissue, causing increased resistance to blood flow in your lungs. This ...
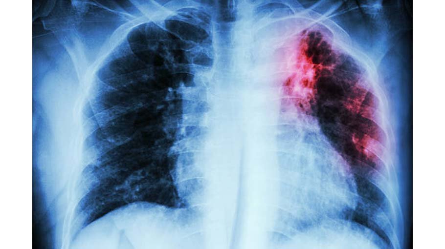
• Thortness of breath (dyspnea)• A dry cough• Fatigue• Unexplained weight loss• Aching muscles and joints• Widening and rounding of the tips of the fingers or toes (clubbing)The course of pulmonary fibrosis — and the severity of symptoms — can vary considera...
Pulmonary fibrosis is a lung disease that occurs when lung tissue becomes damaged and scarred. This thickened, stiff tissue makes it more difficult for your lungs to work properly. As pulmonary fibrosis worsens, you become progressively more short of breath.The scarring associated with pulmonary fib...
Country
Health experts at a discussion have stressed on the essence of leading disciplined life alongside regular exercise and taking balanced food to prevent the silent killer disease of diabetes.They viewed this at the post- walkathon discussion arranged by Rangpur Diabetic Samity (RDS) at its office prem...
Infection:Parasites and viruses can infect the liver, causing inflammation that reduces liver function. The viruses that cause liver damage can be spread through blood or semen, contaminated food or water, or close contact with a person who is infected. The most common types of liver infection are h...
The liver is an organ about the size of a football. It sits just under your rib cage on the right side of your abdomen. The liver is essential for digesting food and ridding your body of toxic substances.Liver disease can be inherited (genetic). Liver problems can also be caused by a variety of fact...
Shemotherapy:Chemotherapy uses drugs to help kill cancer cells. These drugs can be injected into a vein or taken orally. You may receive one chemotherapy drug or a combination of them.Chemotherapy can also be combined with radiation therapy (chemoradiation). Chemoradiation is typically used to treat...
Well, often the question arises as what is actually the main difference between scrubbing and exfoliating; as people frequently get confused between the two. Since exfoliating is a “one-step ahead” procedure in the current time; the difference mainly lies in how each of them works. Scrub...
Imaging tests that create pictures of your internal organs: These tests help your doctors visualize your internal organs, including the pancreas. Techniques used to diagnose pancreatic cancer include ultrasound, computerized tomography (CT) scans, magnetic resonance imaging (MRI) and, sometimes, pos...
Entertainment
• Smoking• Diabetes• Chronic inflammation of the pancreas (pancreatitis)• Family history of genetic syndromes that can increase cancer risk, including a BRCA2 gene mutation, Lynch syndrome and familial atypical mole-malignant melanoma (FAMMM) syndrome• Family history of panc...
Chemotherapy: Chemotherapy is the major form of treatment for leukemia. This drug treatment uses chemicals to kill leukemia cells. Depending on the type of leukemia you have, you may receive a single drug or a combination of drugs. Targeted therapy: Targeted drug treatments focus on speci...
Doctors may find chronic leukemia in a routine blood test, before symptoms begin. If this happens, or if you have signs or symptoms that suggest leukemia, you may undergo the following diagnostic exams:Physical exam: Your doctor will look for physical signs of leukemia, such as pale skin from anemia...
Acute lymphocytic leukemia (ALL): This is the most common type of leukemia in young children. ALL can also occur in adults.Acute myelogenous leukemia (AML): AML is a common type of leukemia. It occurs in children and adults. AML is the most common type of acute leukemia in adults.Chronic lymphocytic...
How leukemia forms:In general, leukemia is thought to occur when some blood cells acquire changes (mutations) in their genetic material or DNA. A cell's DNA contains the instructions that tell a cell what to do. Normally, the DNA tells the cell to grow at a set rate and to die at a set time. In ...
Page 1 of 3, showing 20 results out of 53 total